잇몸 내려앉음 원인 및 치료방법 확인
잇몸 내려앉음

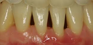
찬물을 마시거나 양치질을 할때 갑자기 이가 시린 증상이 있습니다. 이럴때 시린 부위의 잇몸이 내려앉아 있는 현상을 볼 수 있습니다. 나이가 들어갈수록 잇몸이 내려가게 되고 점차 치아의 뿌리까지 보여질 수 있다고 합니다. 잇몸이 있어야 치아도 버틸수 있습니다. 잇몸 내려앉음 증상의 원인과 치료방법, 예방법에 대해서 알아보도록 하겠습니다.
| 잇몸 내려앉음 원인



1) 잘못된 칫솔질
치아가 건강하려면 칫솔질을 부지런하게 해줘야 합니다. 그런데 칫솔질을 할때 과도한 힘을 주어 양치질을 하면 잇몸이 상하게 됩니다. 쉽게 말해서 잇몸이 칫솔에 깍여나가는거죠. 저도 어금니 잇몸이 칫솔질에 의해 많이 줄어들었는데요. 치과의사들이 추천하는 칫솔질을 유튜브에서 참고하시면 좋을거 같습니다.
2) 치석



치석은 잇몸과 치아 사이에 이물질이 끼이면서 치태라는 것이 생기는데 치태가 자리를 잡고 계속 쌓이면 치석이 됩니다. 치석이 쌓이면 잇몸뼈를 녹여버리는 풍치로 발전되는데, 풍치로 인해 잇몸이 녹으면 잇몸이 내려앉게 됩니다.
3) 한쪽으로만 음식을 씹는 버릇



음식을 먹을때 한쪽으로만 씹게되면 한쪽으로만 잇몸과 치아에 부담을 주기 때문에 잇몸이 내려앉을수 있습니다. 양쪽 골고루 씹어줘야 잇몸 내려앉음 증상도 늦게 오게 됩니다.
| 잇몸 내려앉음 치료방법


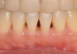
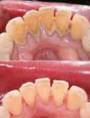
치과의사 선생님의 이야기를 들어본 결과 내려앉은 잇몸은 다시 올리는건 어려우며 현재를 유지하는 방법이 최선이라고 합니다. 잇몸 내려앉음 치료방법에는 앞서 소개된 원인 중 하나인 치석을 제거하는 방법입니다. 위에 오른쪽 사진을 보시면 스케일링 전/후 인데요. 오른쪽 스케일링 후 사진을 보면 치석을 제거하니 치아 사이사이 비어있는 모습이 보입니다. 이렇듯 치석이 많이 끼게되면 잇몸이 내려앉기 때문에 치석이 많이 끼이기 전에 스케일링을 받는 것이 좋습니다. 스케일링은 1년마다 1번씩 보험처리가 가능하기 때문에 1년에 1번 스케일링을 꾸준히 받아주시는게 좋습니다.