티스토리 뷰
편도결석 빼는법

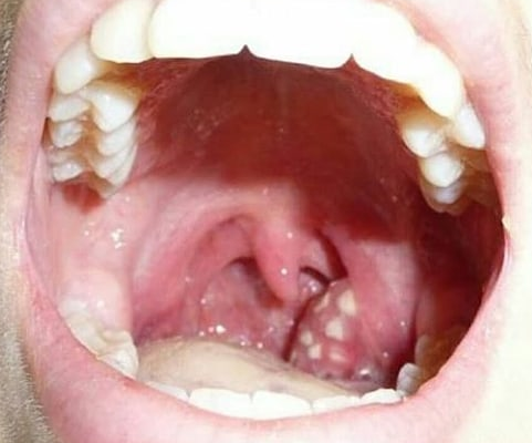
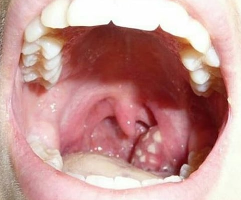
편도결석은 음식물이나 상피조직 파편들이 입안쪽 편도 혹은 편도선의 구멍에 끼면서 생기는 작은 덩어리를 말합니다. 하얀색이나 노란색으로 많이 보이는 형태입니다. 그리고 결석이라 돌맹이라고 많이들 생각하시는데 실제 편도결석은 가볍게 누르면 뭉게질 정도로 단단하지 않습니다.



이러한 편도결석은 입냄새의 원인이 되기도 합니다. 양치질도 하고 충치도 없는데 입냄새가 사라지지 않는다면 편도결석이 있는지 체크해 보시길 바랍니다. 편도결석이 있다면 침을 삼킬 때 무언가 걸리는 느낌이 있거나 목이 간지럽게 느껴진다면 편도결석이 원인일 가능성이 큽니다.

| 편도결석 빼는법
1. 면봉


면봉으로 편도결석 제거시 혼자서는 제거하기 쉽지 않습니다. 아주 가까운 사람이 아니고선 해주기 어려운 방법이죠. 하지만 생각보다 쉽게 할수 있는 편도결석 빼는 방법 이기에 많은 분들이 사용하는 방법입니다. 일단 입속이 어둡기 때문에 손전등으로 입안을 밝게 비추고 보면 편도에 하얗거나 노란 덩어리들을 쉽게 찾을 수 있습니다. 이때 '아~'라고 소리를 내어주면 편도에 입이 가해지기 때문에 면봉으로 살짝 눌러주면 빠지게 됩니다. 이때 면봉은 마른 상태보단 물에 적신 상태에서 해주시기 바랍니다.
2. 가글



편도결석의 원인 중 음식물 찌꺼기도 있었죠. 음식물 찌꺼기가 편도 구멍에 쌓이면서 생기는 것도 크기 때문에 가글만 잘해줘도 편도결석을 제거 혹은 예방 할 수 있습니다. 시중에 팔고 있는 구강청결제를 사용해도 좋고 소금물로 가글해줘도 효과가 좋습니다. 매일 밤 자기전에 가글하는 습관이 있다면 편도결석 걱정하지 않아도 될 정도로 좋은 방법입니다.
3. 편도결석 제거기



요즘 유튜브에 편도결석 제거 사이다 같은 영상이 많이 노출되다보니 많은 분들이 편도결석 제거에 관심을 가지게 되었고 그로 인해 편도결석 제거기도 시중에 판매되고 있습니다. 쇼핑사이트에서 편도결석 제거기 라고 검색하시면 쉽게 구매 가능합니다. 편도결석 제거기는 수압으로 편도에 상처를 내지 않고 효과적이게 제거해주는 장점이 있습니다. 예전에는 전기를 필요로하는 전자제품으로 있었으나 요즘에는 전기가 필요하지 않은 제품도 나오니 참고하시기 바랍니다.

편도결석 빼는법 3가지를 알아보았습니다. 하지만 자주 제거를하면 편도 구멍이 커져 더욱 심하게 이물질이 끼이게 된다고 합니다. 빼는 방법 외에 이비인후과를 방문하여 편도 구멍을 레이저로 막아주거나 편도를 제거해 주는게 가장 효과적인 방법입니다. 편도결석 때문에 고민이 많으시다면 이비인후과 방문을 해보시는것도 좋을거 같습니다.