티스토리 뷰
반응형
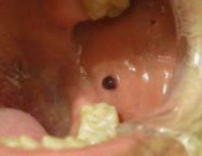
입안 피멍울

간혹 입안에 멍울이 느껴지고 거울로 확인해보면 피가 고여있는걸 본적이 있을겁니다. 이러한 증상을 구내혈종이라고 부르는데요. 뭔가 씹거나 말을 하다가 볼쪽을 씹게되었을때 발생되는 증상입니다.
| 입안 피멍울 대처 방법



입안 피멍울 혹은 구내혈종은 별다른 치료없이 자연적으로 치유되는 증상입니다. 하지만 입안에 뭔가가 계속 느껴지는 이물감 때문에 날카로운 도구로 물집 터뜨리듯 없애는 분들이 많습니다. 이러한 행동은 세균으로 인한 감염에 노출이 될수 있기 때문에 하지 않는것이 좋습니다. 만약 터뜨리시겠다면 반드시 소독을 해주셔야 합니다.
| 입안 피멍울 없어지지 않는다면?



앞서 말씀드렸듯이 입안 피멍울은 자연치유가 되는 증상입니다. 하지만 일주일이 지나도 입안 피멍울이 없어지지 않는다면 악성 종양일 수 있기때문에 이런 경우 반드시 병원을 방문하여 전문의에게 진단을 받으시는게 좋습니다.
| 입안 피멍울 예방 방법



만병의 원인은 스트레스와 수면 부족이 대부분입니다. 입안 피멍울도 자신의 실수로 볼을 씹은게 아니다면 스트레스나 수면 부족이 원인일 수 있습니다. 이런 경우 충분한 휴식을 취해 수면부족과 스트레스를 풀어주는 것이 가장 좋은 예방법입니다.









반응형
댓글